野球肘の外側型(上腕骨小頭の離断性骨軟骨炎)OCDについて詳しく解説

野球肘(外側型)である上腕骨小頭の離断性骨軟骨炎(以下OCD)については以前にも書かせて頂きましたが、今回は詳しく症例を交えてご紹介させて頂きます。
関連記事・あわせて読みたい

今回の患者様は、以前(少なくとも半年以上前)から肘の外側に痛みを感じる様になり当初は投球時や投球後の痛みだけだったが、次第に症状が悪化し日常生活でも肘が曲げづらい・完全に伸ばす事ができないなど支障が出てきていたそうで、心配になり近隣の整形外科に受診しレントゲン検査をしたが『骨には異常がない』と説明を受けシップを処方されたので1週間程部活を休み、その後少しずつ再開したそうです。
それからは、痛みを感じつつも投げ続けてきたが、痛みが軽減しないのを心配に感じ当院へご来院されました。
野球肘外側型の見分けポイント

痛みを訴える部位(肘外側)、期間、肘の可動域制限が強い。この情報だけで十分疑う疾患が絞られます。まず圧痛部位の確認を行い、各靭帯のストレステスト等徒手検査を行う事で他の疾患と鑑別していきます。
ここでの鑑別すべき疾患は、内側型(上腕骨内側上顆剥離骨折・内側側副靭帯(MCL)損傷・円回内筋損傷・ゴルフ肘)や後方型(肘頭障害・肘頭先端部障害・肘頭骨折・肘頭疲労骨折・肘頭骨端線離開、上腕三頭筋付着部炎)、外側上顆炎(テニス肘)他があります。
エコーチェック

圧痛部位、運動時痛、可動域制限等の確認が終わったらいよいよエコー(超音波観察装置)で患部の確認です。肘の外側にプローブをあて画面をみて、やはりOCDが確認されました(;_:)。。。



以前にもブログにて説明をさせて頂きましたが、このOCDは早期発見・早期治療・予防が大切で起きてからでは遅いケガです。
野球肘の外側型は重症?

野球経験者やそのご家族であれば「野球肘」というワードを一度は耳にした事があるとは思いますが、上記でもお伝えした通り、外側型・内側型・後方型の3つに分類されます。その3つの中でも特に注意しなければならないのが『外側型』です。
この外側型は最悪の場合、
- ピッチャー以外へのポジション変更
- 投球時の利き手交換
- 野球自体を辞める
等になってしまうケースもあり他の野球肘より重症例となる可能性が高いといえるでしょう。
昔に比べると、昨今では野球教室や各組織団体が定期的にエコーチェックを行う事で早期に発見し未然に防ぐ仕組みになってきていますが、それでもこの患者様のようにケガの存在を知らず痛みを我慢しながら練習を続けてしまう場合もあるため、野球に携わる方々はこの様なケガがあるという事を念頭に置いて頂きたいと思います。
とにかく早期発見・早期治療・予防が重要

OCDは、初期の段階ではレントゲン上では見分けがつかない事が多く言い換えれば、レントゲン上で異常がみられた時点で初期段階ではないでしょう。
進行・悪化し重症例となってしまった場合は、我々(鍼灸接骨院)レベルではどうすることもできず、スポーツ専門医のご判断に委ねられます。
だからといって全くこの様な患者様が受診されないとは限らず、むしろ「少し痛いから念のため来た」等と来院されるケースも十分に考えられますので当院では野球に限らず手を酷使するスポーツを行っている学生は必ず肘のチェックをさせて頂いております。
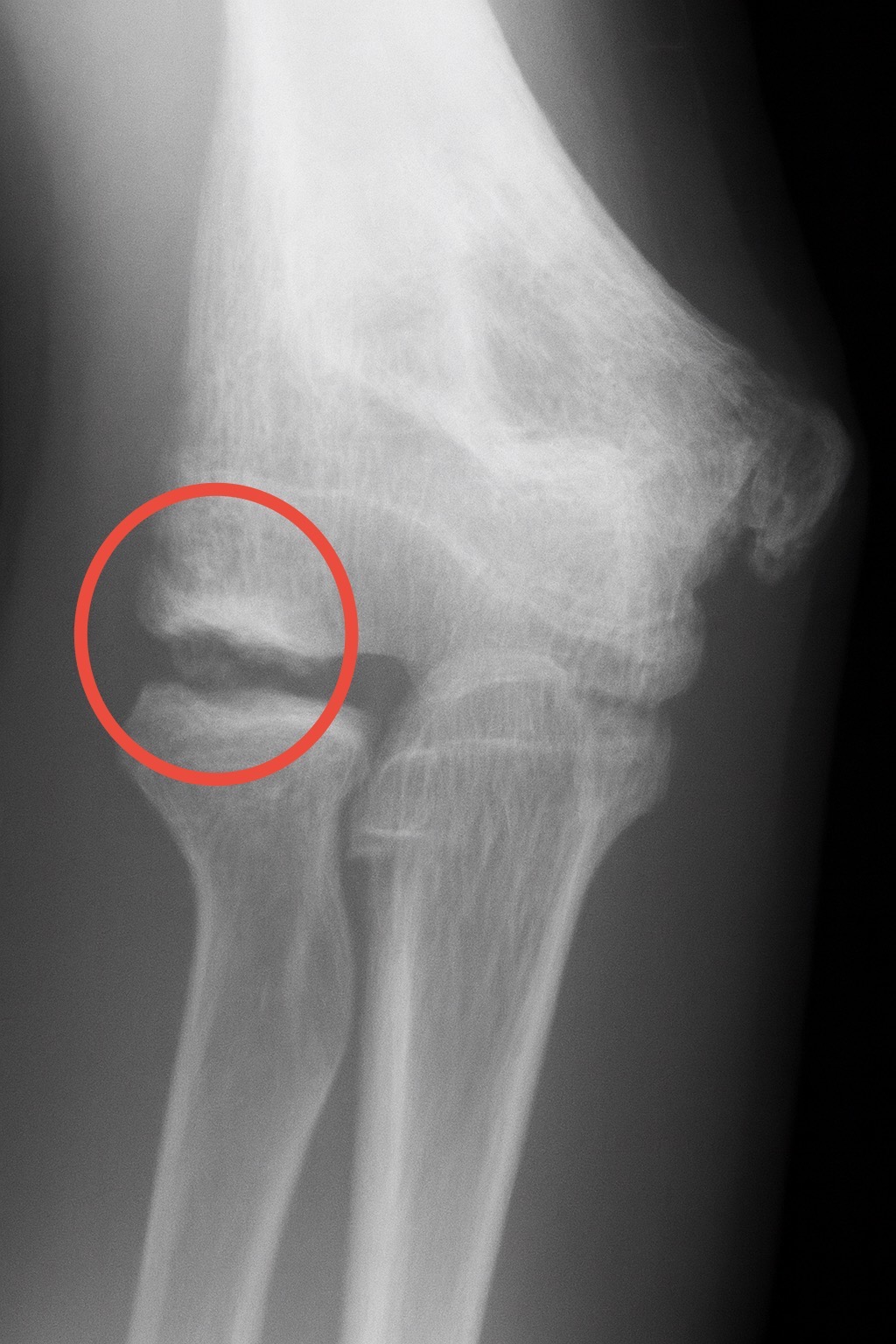
レントゲンではどのように写るの?

レントゲン上では上記画像の赤丸部分の上腕骨小頭という所が下の骨(橈骨)とぶつかる事で骨(軟骨)が剥がれてしまいます。初期の段階であればスポーツ(投球動作)を中止し、悪化を防ぎますが大きく離開してしまう様な場合は手術にて骨を固定します。
少しでも多くの野球に携われている周囲の大人の方がこのケガの事を知って頂けたらと思います。

